Меня зовут Оксана Найдёнова
и я являюсь директором стоматологии DentOK.
В 2010 году окончила КГМУ с красным дипломом. После института продолжала свое стоматологическое образование. Посетила более 50 лекций и практических курсов лекторов зарубежных стран . Выступаю с докладами по реставрационной и цифровой стоматологии в Казахстане и России. Несколько лет подряд участвую в подготовке студентов на международный конкурс JAT (Италия) по реставрации. Opinion-лидер компании Micerium в области реставрационной стоматологии. Сертифицированный CEREC- тренер. MBA. Автор курса «Цифровая стоматология у кресла пациента», "Цвет в реставрации фронтальных зубов". Автор статей в международных стоматологических журналах.
Мой главный принцип: "Лечи так, как хотел бы, чтобы лечили твоих детей"
Поэтому я собрала команду докторов, которые не просто лечат, а бережно с заботой относятся к каждому Вашему зубу!

НАШИ преимущества
![]() | ![]() | ![]() | ![]() |
|---|---|---|---|
![]() |
Что мы делаем для вашей здоровой улыбки

Виниры
Хотите красивую и ровную улыбку? Виниры — это тонкие пластинки, которые устанавливаются на передние зубы и сразу меняют внешний вид. Они помогают скрыть сколы, неровности, пятна и небольшие промежутки. Процедура проходит комфортно, а результат выглядит максимально естественно. Вы просто получаете улыбку, о которой давно мечтали.

Импланты
Если зуб был потерян — имплант поможет вернуть ощущение «как свой». Это прочная титановая опора, на которую ставится коронка. Она выглядит как настоящий зуб, отлично держит нагрузку и позволяет свободно жевать. Импланты — один из самых надёжных способов восстановления зубов: вы снова можете улыбаться без стеснения и жить привычной жизнью.

Терапия
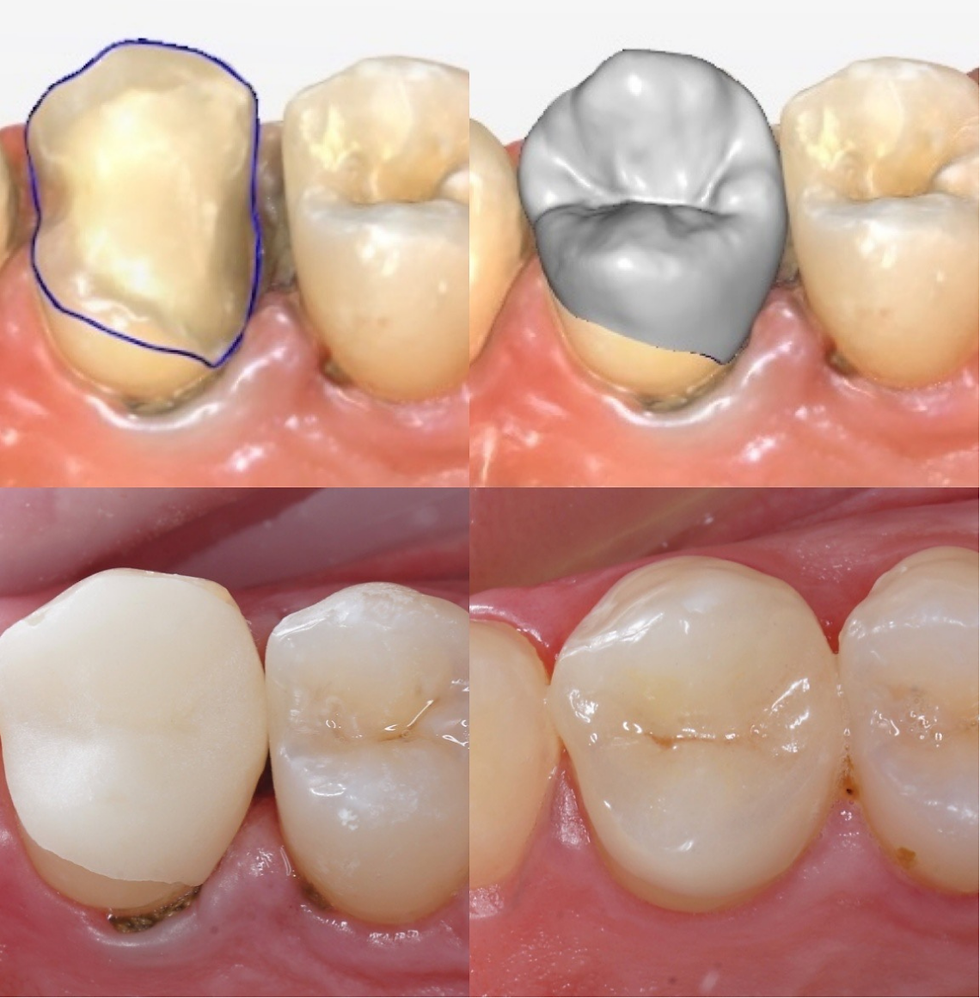
Это всё, что связано с лечением зубов и сохранением их здоровья. Кариес, чувствительность, маленькие сколы — всё решается аккуратно и без боли, с анестезией. Мы используем современные материалы, чтобы пломба выглядела естественно и служила долго. Наша цель — сохранить ваши зубы здоровыми и крепкими.

Травма зубов
Если произошёл скол, трещина или выбили зуб — главное, не переживать и обратиться к нам как можно скорее. Мы проведём диагностику, сделаем снимок и подберём наилучший способ восстановления. Часто зуб можно сохранить полностью. Мы постараемся сделать всё, чтобы вы ушли с нормальной улыбкой и ощущением безопасности.

Элайнеры и брекеты
Хотите ровные зубы? Сегодня это можно сделать комфортно и незаметно.
Элайнеры — прозрачные каппы, которые постепенно выравнивают зубы. Они удобные, не мешают в жизни и почти не видны.
Брекеты — классическая система, которая помогает исправлять даже сложные случаи. Современные брекеты компактные и аккуратные, а результат предсказуемый.
Мы подберём систему, которая подойдёт именно вам, и будем сопровождать на каждом этапе.

Пародонтология
Здоровые дёсны — основа красивой улыбки. Если вы замечаете кровоточивость, неприятный запах или подвижность зубов — это сигнал, что дёснам нужна помощь. Мы проведём профессиональную чистку, снимем воспаление и подскажем, как правильно ухаживать за полостью рта. Главное — вовремя начать, чтобы сохранить зубы надолго.
НАША КОМАНДА
Профессионализм. Забота. технологии.
Наша команда - это группа увлеченных профессионалов, которые стремятся к совершенству в каждом проекте. Мы объединяем свои знания и опыт, чтобы создать уникальные решения для наших пациентов. Вместе мы движемся к общей цели и гордимся каждой выполненной задачей. Присоединяйтесь к нам в этом увлекательном путешествии!


командные работы






































